La microscopie électronique à transmission permet, au terme de préparations adaptées d'accéder à de nombreux services :

  • Observation classique en mode haut contraste et haute résolution
  • Préparation d’échantillons pour l’observation ultrastructurale
  • Observation de nano objets par coloration négative
  • Localisation d’antigènes avant ou après inclusion en résine et sur cryo-coupes.

L'équipement d'observation
Microscope Electronique en Transmission - HT-7700 Hitachi 120kV.

  • Grandissement en mode Haut contraste : 200X à 200 000X
  • Grandissement en mode Haute résolution 4 000X à 600 000X
  • Caméra CCD AMT XR41
  • Porte grilles simple et triple (avec ou sans cassettes)

Les techniques & équipements de préparation

Coloration négative

La coloration négative est utilisée pour l'observation de particules nanométriques en suspension ou pour mettre en évidence des structures très fines comme les flagelles de bactéries. Les contrastants utilisés sont l’acétate d’uranyle, l’uranyless ou l’acide phosphotungstique. Le dépôt des solutions est réalisé sur des grilles membranées (collodion carbone ou formwar-carbone) dont la charge et l'hydrophobicité peuvent être modifiées à l'aide d'un glow discharge.

Ci-contre : Flagelles d'E.coli (C. Roques - UMR 5503 LGC)




 
Techniques de préparation en vue d'une observation ultrastructurale

L'objectif de ces techniques est d'obtenir des coupes de 70 nm d'épaisseur d'échantillons inclus en résine. Les coupes sont contrastées avec de l'acétate d'uranyle ou de l'uranyless suivi ou non d'un contraste au citrate de plomb.

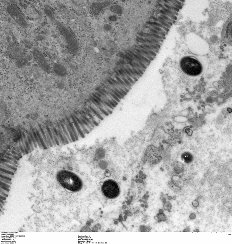
Classiquement la préparation utilisée pourl'observation de l'ultrastructure des cellules et des tissus est caractérisée par une fixation au glutaraldéhyde, une post fixation à l'osmium et une imprégnation dans une résine époxy qui polymérise à chaud (Etuve à 60°C).

Ci-contre : Coupe d'intestin (B. Payré -CMEAB)




Pour les échantillons dont la structure rend difficile la pénétration de la résine (levures, bactéries, végétaux...), nous utilisons l'automate AMW qui permet une imprégnation améliorée sous micro-ondes. La polymérisation peut se faire à chaud en étuve ou dans l'automate sous micro-ondes (en 3h).

Ci-contre : Coupe de levure en AMW (I. Fourquaux - CMEAB)



 
Techniques de préparation pour la localisation d'antigènes
Les techniques de cryo-préparation ont pour propriété de mieux préserver les antigènes et sont donc préférées pour la localisation d'antigènes par immunogold (anticorps secondaires liés à une bille d'or). Les immunomarquages sont ensuite réalisés manuellement ou à l'aide d'un automate (IGL). Nous réalisons au centre deux types de cryo-techniques :
 
La PLT (progressive lowering of temperature) est une technique permettant une imprégnation, une substitution et une polymérisation à très basse température dans un AFS (automate de substitution à froid). Cette technique utilise des résines acryliques qui polymérisent sous Ultra Violet à très basse température et dont l'hydrophobicité facilite la liaison antigène-anticorps.

Ci-contre : Coupe de cardiomyocytes en AFS (C. Guilbeau-Frugier - I2MC équipe 8)
Ultramicrotome Leica EM UC7 Il permet de réaliser des coupes de 40 nm à 2 µm d'épaisseur. Les échantillons coupés peuvent être des échantillons biologiques imprégnés de résine, des poudres dispersées dans de la résine ou des échantillons massifs.
 

 
La technique de Tokuyasu est une technique qui n'utilise pas de résine. L'échantillon, après une fixation chimique (généralement  au paraformaldéhyde) et une imprégnation dans un cryoprotectant, est directement congelé dans de l'azote liquide. Le bloc obtenu est coupé à l'aide d'un cryo-ultramicrotome et la coupe de 70 nm d'épaisseur est ramenée à température ambiante afin de réaliser un immunomarquage.

Ci-contre : Marquage Claudine 5 sur disques intercalaires de cardiomyocytes (C. Guilbeau-Frugier - I2MC équipe 8)

 
Les équipements

Automate de substitution à froid AFS2 Leica

Il permet de préparer les échantillons à très basse température pour la microscopie électronique en transmission. Il peut être utilisé pour des échantillons fixés chimiquement ou cryo-fixés. Les résines sont polymérisées à froid sous ultra-violet. L'AFS2 est équipé d'un module EM FSP Leica pour le changement automatique des solutions. Ce module est indispensable afin de diminuer le contact du manipulateur avec les vapeurs de résines très allergisantes. 
 

Ultramicrotome Leica EM UC7

Il permet de réaliser des coupes de 40 nm à 2 µm d'épaisseur. Les échantillons coupés peuvent être des échantillons biologiques imprégnés de résine, des poudres dispersées dans de la résine ou des échantillons massifs.
 

Cryo-ultramicrotome Leica EM FC7

Ultramicrotome permettant de réaliser des coupes ultra fines à très basse température. Les coupes d’échantillons biologiques cryo-fixés sont utilisées principalement pour réaliser des immunomarquages par la technique de Tokuyasu.

 

Automate d'immunomarquage IGL Leica

Il est utilisé principalement pour des immunomarquages à l’or colloïdal. Il permet  l’incubation de 24 grilles de microscopie électronique dans 30 solutions différentes successives.

Automate de préparation par micro-ondes AMW Leica

L’utilisation des micro-ondes améliore l’imprégnation des résines dans les échantillons préparés pour la microscopie électronique en transmission. L'AMW est notamment utilisé pour les échantillons entourés de parois ralentissant fortement l’imprégnation des tissus par les résines (végétaux, levures…).
 


Étuve de polymérisation des résines

Elle permet la polymérisation des résines à 60°C en 24h-48h.